Lepiota sp. 1
Basidiomycota > Agaricales > Agaricaceae



Descripción: Basidiocarpo pequeño; píleo plano convexo y subumbonado; hasta 2.5 cm de diámetro; color marrón chocolate haciéndose más oscuro hacia el centro; superficie seca, opaca, ornamentación escuamolosa a escuarrosa, con escuamulas café oscuro erectas mayores a 1 mm de longitud; borde levemente ondulado, enrollado hacia el himenóforo. Contexto hasta 2 mm de grosor, beige claro. Himenóforo lamelado, cercano y libre; lamelas ventricosas, de borde liso a crenado; color beige uniforme. Estípite de hasta 3.5 cm de longitud y 2.5 mm de grosor; central, cilíndrico, hueco y fibroso internamente, concoloro al píleo; ornamentación escabrosa; ápice color beige oscuro, presencia de micelio basal blanco. Anillo presente en el tercer tercio superior, fijo a persistente y doble, algodonoso; blanco y ancho en parte superior y marrón en parte inferior.
Basidiosporas oblongas a elipsoidales, 7 - 10.5 x 3.7 - 4.8 µm (Q=2), hialinas en agua y KOH, de pared lisa y simple, apiculadas, inamiloides. Trama himenoforal subregular a irregular Basidios cortos y toscos, anchos 17 x 9 µm más o menos, hialinos y posiblemente bisporico; pleurocistidios ausentes; queilocistidios numerosos y variables, estrangulados, claviformes, cilíndricos-claviformes, 32 - 62 x 9.5 - 16 µm, hilainos, de pared lisa y simple, algunos con pequeños contenidos internos. Pileipellis en tricodermo intrincado de hasta 700 µm de longitud, con hifas café, septadas y sin fíbulas, moderadamente ramificadas, de pared simple y sin contenidos internos.
Ecología: Saprobio. Solitario, creciendo sobre la hojarasca, en bosques mixtos andinos (1500 m.s.n.m.)

Basidiosporas

Trama himenoforal

Queilocistidos

Queilocistidios

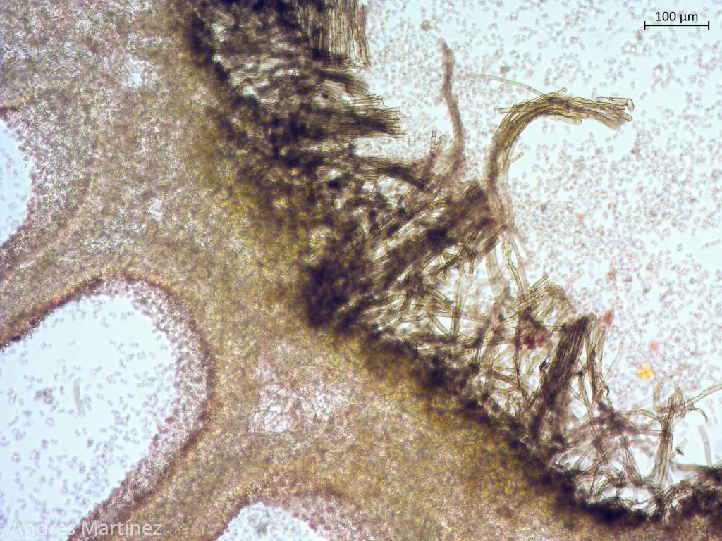
Pileipellis

Hifas de la pileipellis
Referencias
- Noordeloos, M. E., Kuyper, T. W., & Vellinga, E. C. (Eds.). (2001). Flora Agaricina Neerlandica-5. CRC Press.
- Nguyen, N. H., Song, Z., Bates, S. T., Branco, S., Tedersoo, L., Menke, J., Schilling, J. S., & Kennedy, P. G. (2016). FUNGuild: An open annotation tool for parsing fungal community datasets by ecological guild. Fungal Ecology, 20, 241–248. https://doi.org/10.1016/j.funeco.2015.06.006